Fundus Fluorescein Angiography (FFA)
Best Advanced Fundus Fluorescein Angiography (FFA) Treatment in Andheri Mumbai
What is Fundus Fluorescein Angiography (FFA)?
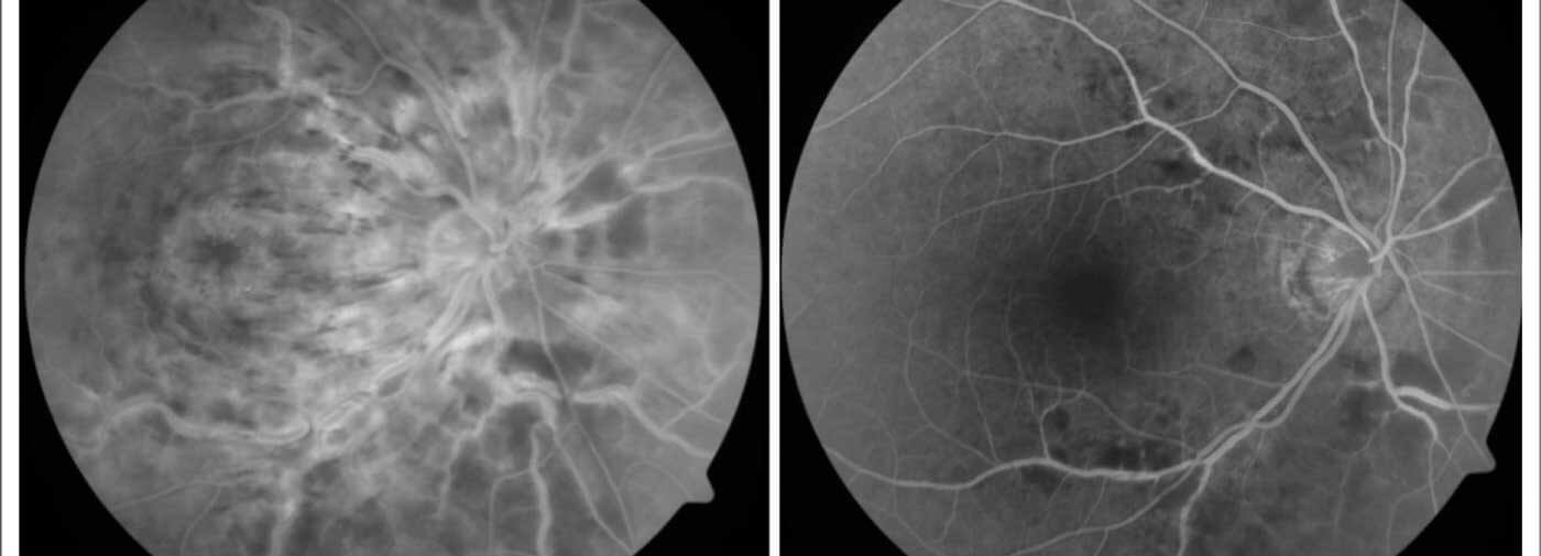
Fundus Fluorescein Angiography (FFA) is a highly specialized diagnostic procedure used to visualize the blood vessels in the retina and choroid layers of the eye. It involves injecting a fluorescent dye called fluorescein into a vein, typically in your arm or hand. This dye circulates through the bloodstream and highlights the retinal vessels under a special camera that captures detailed images, helping eye specialists detect abnormalities such as blood vessel leakage, blockages, or new vessel growth.
At Ashu Laser Vision and Ashu Eye Hospital in Andheri Mumbai, we provide the best advanced Fundus Fluorescein Angiography treatment, performed by experienced retina specialists like Dr. Shahnawaz Kazi, known for his expertise in retinal diseases and advanced retinal imaging techniques.
Procedure for Fundus Fluorescein Angiography
The FFA procedure is outpatient and usually lasts about 15 to 30 minutes. Here’s what patients can expect:
-
A small injection of fluorescein dye is administered intravenously.
-
As the dye reaches the retinal vessels, a special fundus camera takes rapid sequence photographs.
-
The images show the circulation of blood through the retina and can identify leaking vessels, blockages, or abnormal growth.
-
After the procedure, patients may experience temporary yellowing of the skin or mild nausea.
-
The dye is eliminated naturally via the kidneys, causing urine to appear orange-green for up to 48 hours.
-
Patients are advised to avoid direct sunlight immediately after the test.
Why Choose Fundus Fluorescein Angiography?
FFA is essential for diagnosing and managing several serious eye conditions, including:
-
Diabetic Retinopathy: Detects early signs of damage in diabetic patients.
-
Retinal Vein Occlusion (CRVO/BRVO): Assesses blockages and ischemia in retinal veins.
-
Age-Related Macular Degeneration (AMD): Identifies abnormal blood vessel growth.
-
Hypertensive Retinopathy: Evaluates damage caused by high blood pressure.
-
Retinal Detachment and Edema: Helps map areas of retinal swelling or tears.
-
Inflammatory Eye Diseases: Detects inflammation affecting retinal vessels.
Fundus Fluorescein Angiography at Ashu Laser Vision – Retina Specialist Clinic in Andheri Mumbai
At Ashu Laser Vision, our retina specialist clinic in Andheri Mumbai is equipped with the latest, state-of-the-art FFA technology. Dr. Shahnawaz Kazi and his expert ophthalmology team provide personalized care and precise diagnosis through advanced fundus fluorescein angiography and other retinal imaging techniques.
Our retina specialists specialize in interpreting FFA images to create tailored treatment plans that can include laser therapy, intravitreal injections, or surgical interventions when necessary. Whether you are seeking a retina specialist near me or advanced diagnostics for diabetic retinopathy, Ashu Laser Vision is your trusted destination.
Safety and Side Effects of Fundus Fluorescein Angiography
FFA is generally safe, but patients should be aware of potential side effects:
-
Mild nausea or vomiting
-
Skin rash or itching (rare)
-
Temporary yellow discoloration of skin and urine
-
Allergic reactions such as airway spasms or anaphylaxis (very rare)
-
Discomfort if dye leaks outside the vein (managed with cold compresses)
Our clinic ensures a safe environment with emergency protocols in place to handle any rare adverse reactions.
Benefits of Choosing Advanced FFA Treatment in Andheri Mumbai
-
Accurate diagnosis of retinal diseases leading to early and effective treatment
-
High-definition retinal imaging for precise disease monitoring
-
Access to expert retina specialists with decades of experience
-
Personalized treatment plans that improve vision outcomes
-
Convenient location with advanced eye hospital facilities in Andheri Mumbai
Who Should Get Fundus Fluorescein Angiography?
If you experience symptoms such as blurred vision, floaters, vision loss, or have a systemic condition like diabetes or hypertension, your ophthalmologist might recommend FFA. Early diagnosis using FFA can help prevent vision loss and manage retinal conditions effectively.
Scheduling Fundus Fluorescein Angiography in Andheri Mumbai
If you’re searching for fundus fluorescein angiography near me or an FFA test in Andheri Mumbai, Ashu Laser Vision offers comprehensive diagnostic services. Our retina specialist, Dr. Shahnawaz Kazi, is widely recognized for his expertise and compassionate patient care. Contact us today to schedule a consultation and get access to the best retinal diagnostic technologies.
Our most experienced Senior Eye Surgeon & Retina Specialist, Dr. Shahnawaz Kazi, has performed thousands of Fundus Fluorescein Angiography (FFA) tests over the past 16 years with remarkable success and patient satisfaction. His extensive expertise and precision in interpreting FFA results have made him a trusted name for advanced retinal diagnostics and personalized eye care in Andheri Mumbai. Under his skilled supervision, patients receive accurate diagnoses and effective treatment plans for complex retinal conditions, ensuring the best possible outcomes.
FAQs About Fundus Fluorescein Angiography (FFA)
Fundus Fluorescein Angiography (FFA) is a diagnostic imaging procedure that uses a fluorescent dye injected into the bloodstream to capture detailed images of the retina’s blood vessels.
FFA is performed to diagnose and monitor retinal diseases such as diabetic retinopathy, macular degeneration, retinal vein occlusion, and other vascular abnormalities of the eye.
A fluorescent dye (fluorescein) is injected into a vein, usually in the arm, and a special camera takes rapid images of the dye as it circulates through the retinal blood vessels, highlighting any blockages or leaks.
Yes, FFA is generally safe. Minor side effects like nausea, skin rash, or temporary discoloration of the skin and urine may occur, but serious allergic reactions are rare.
The entire FFA procedure typically takes about 30 to 45 minutes, including preparation and image capturing.
FFA is painless. Patients may feel a slight sting during the dye injection, but the imaging process is non-invasive and comfortable.
Patients with diabetes, age-related macular degeneration, retinal vein occlusion, unexplained vision loss, or suspected retinal vascular disease may benefit from FFA.
Yes, FFA is one of the best diagnostic tools for detecting diabetic retinopathy and assessing the extent of retinal blood vessel damage.
Although rare, allergic reactions to the dye and other complications such as nausea or vomiting can occur. Inform your doctor if you have a history of allergies.
No special preparation is needed, but avoid wearing contact lenses or eye makeup on the day of the test. Bring sunglasses as your eyes may be sensitive to light afterward.
You may experience temporary yellowing of the skin or discoloration of urine for 24-48 hours. Avoid direct sunlight, and follow any additional care instructions from your doctor.
FFA primarily diagnoses retinal vascular problems, but it may be used to assess retinal circulation in some glaucoma cases.
FFA can be repeated as necessary based on your eye condition, but your ophthalmologist will recommend the appropriate frequency to avoid unnecessary exposure.
Advanced FFA testing is available at specialized eye clinics and hospitals like Ashu Laser Vision and Ashu Eye Hospital in Andheri, Mumbai.
Costs vary depending on the clinic and region. Contact your local eye care center for detailed pricing and insurance coverage information.
Alternatives include Optical Coherence Tomography (OCT) and Indocyanine Green Angiography (ICG), but FFA remains the gold standard for retinal vascular imaging.
FFA helps detect abnormalities in retinal blood vessels but is typically used alongside other tests to diagnose retinal detachment.
FFA can be performed on children when necessary, but the decision depends on the child’s condition and ability to cooperate during the procedure.
Look for experienced ophthalmologists or retina specialists with advanced imaging technology and positive patient reviews, such as Dr. Shahnawaz Kazi at Ashu Laser Vision in Andheri, Mumbai.
While FFA itself does not improve vision, it plays a critical role in diagnosing eye conditions early, allowing timely treatment to prevent vision loss.
